
心エコーの最新動向 新 超音波診断 Vol 02 東芝メディカルシステムズ株式会社 Innavi Suite

Transthoracic Speckle Tracking Echocardiography For The Quantitative Assessment Of Left Ventricular Myocardial Deformation Protocol Translated To Japanese
2

2dスペックルトラッキング法と小児への応用

心エコーグループ 兵庫医科大学 循環器内科

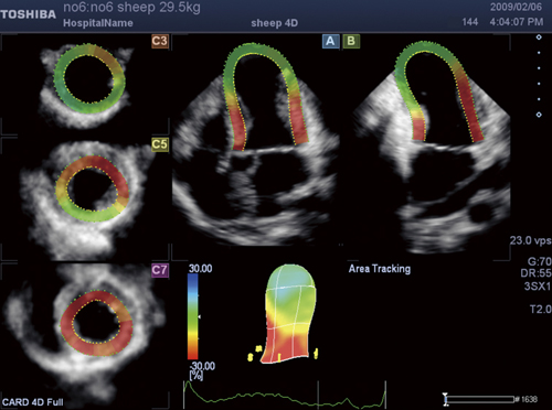
3d Wall Motion Tracking技術の特長と最新動向 東芝メディカルシステムズ株式会社 Innavi Suite
2dスペックルトラッキング法と小児への応用

Artida の最新壁運動解析技術 東芝メディカルシステムズ株式会社 Innavi Suite

心エコー法 2020年版 心アミロイドーシス診療ガイドライン 遺伝性attrアミロイドーシス Fap Jp
2d Speckle Tracking法を始めよう
2
Tags:
Archive